About
La Canada Flintridge Quality Dental Care – Cosmetic, Family & Holistic Dentist
A smile is a most precious gift, And as the top quality dental care group, our mission is to beautify your precious gift. Our Goal is your ultimate personal satisfaction.
Safe Mercury Removal, Cosmetic & Implant Dentistry
Flintridge Dental Group provides you the quality dental care for your complete dental health. We hope you look forward to giving yourself a tour of our treatment facilities including latest available dental treatments, education, and information from the best dental specialists. As a leading quality dental care clinic in California, we provide total care for your teeth, smile, and mouth. Because your time is valuable, our quality dental care includes latest paperless technology and sending forms via email prior to your dental appointment, so it will save your valuable time spending in the office.
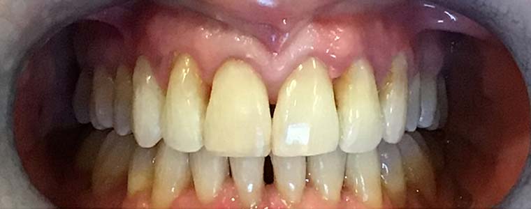
Mercury Free & Mercury Safe – Holistic Dentist
The recommendations by IAOMT are known as SMART (Safe Mercury Amalgam Removal Technique). As a member of IAOMT and Holistic Dentistry, Dr. Azin provides safe mercury removal or mercury filling removal treatments. Flintridge Dental Group provides free mercury removal consultation for removing existing dental mercury amalgam fillings.
As a SMART (Safe Mercury Amalgam Removal Technology) Dentist or Holistic Dentist in La Canada Flintridge, we assist you in reducing the negative health outcomes of mercury exposure. We are trained professionals in removing mercury or silver filling in a very safe way without any exposure from teeth.
Make the SMART choice today to protect your health!
Flintridge Dental Group is the leading and one of the top safe mercury removal dental groups that help the patients in the removal of silver dental amalgam fillings with safety. The safe mercury removal is done under every possible care for the patient. Our aim is to protect the patient during the whole process of mercury filling removal. To ensure the best mercury filling removal treatment, we offer a variety of tests to determine how much your body is influenced by mercury. We treat every patient as an individual case. Here, at Flintridge Dental Group, we work together as a team of dental specialists to ensure providing the top-notch amalgam removal or mercury filling removal treatment.
High Quality Dental Care With A Personal Touch
SCHEDULE AN APPOINTMENT
FOR A COMPLIMENTARY CONSULTATION.
Flintridge Dental Group
Dental School at the prestigious University of Tehran, Iran is ranked as one of the top dental schools in Iran where Dr. Azin Rezaei is graduated from. As the best dentist in California, she achieved additional postgraduate training at UCLA.
Dr. Azin always focuses on providing the highest quality cosmetic and restorative dentistry to her all the patients. She helped numberless patients to restore their beauty and function, which makes her the best dentist in California.
While Dr. Rezaei is a skillful and artistic cosmetic dentist in California, she has always displayed a passion for the biologic nature of dentistry. As a result, she has placed a large emphasis in her career on the health of the products she places in her patient’s mouth, and the effects they have on the body as a whole. Dr. Rezaei is one of the dentists who remove all the toxic material safely. That material could be mercury or metal-based restorations. Being a holistic dentist, she provides the treatment that is safe and up-to-date and that is why she is considered the best dentist in California.
I am grateful that I can share my experience with Dr. Azin and her entire staff. From my very first visit to the office, I was made to feel welcome and comfortable. The fact that her practice is set in a more intimate environment, brings on a more personable, refreshing experience. If I had to sum up my experience and use only one word to best describe it, I would say “accommodating” (besides the word “awesome” of course). Dr. Azin truly shines from her wealth of knowledge, skill, and professionalism.
I’m writing this review since I want to share my experiences with everyone who suffer from sever headaches and migraine. I went to get my check up and cleaning and during my exam Dr. Azin asked me if I have any experience of headache ? It was surprised me since no dentist asked me that before !!
I love this dental office! My sister recommended them to me as she lives near the office, so I decided to make the trek out here after having issues with a few previous dentists. I was very nervous but just walking into this office I felt at ease. Gabby at the front desk warmly greeted me. After filling out some paperwork I was quickly seated and had some x-rays taken. I was pleasantly surprised that they were done quickly and painlessly!
A 18–year Reputation
Our dental practice is committed to providing superior oral health services to our patients.





